Real results for real people. Restore your smile and regain your confidence.
The patients below are just a few of the many cases our expert team of doctors have completed. From the everyday to the extraordinary, our team can help you get the smile you’ve always dreamed of!





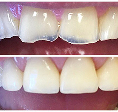
20 Year-old Female.
Single Porcelain Veneer

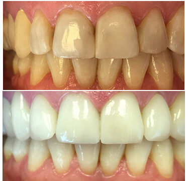
50 Year-old Female.
Upper Full Crowns Restoration

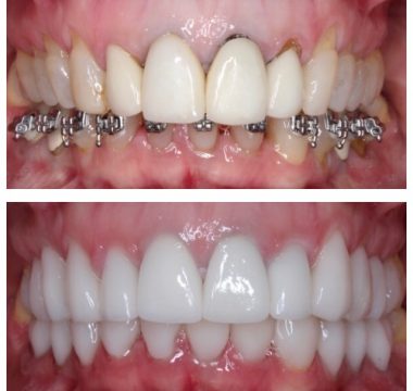
45 Year-old Female.
Digital Crowns and Veneers Full Restoration

52 Year-old Male.
2 Anterior Crowns Restoration

64 Year-old Female.
7 Anterior Crowns Restoration





48 Year-old Female.
6 Anterior Crowns and Veneers Restoration

55 Year-old Male.
4 Anterior Crowns Restoration

30 Year-old Female.
4 Anterior Crowns and Veneers Restoration

73 Year-old Female.
4 Lower Crowns Restoration

40 Year-old Male.
6 Anterior Crowns Restoration

Crowns & Veneers


